医院ブログ
- 赤羽の歯医者・インプラントなら「オリーブ歯科・矯正歯科」|赤羽駅南口徒歩1分|
- 新着情報|
- 医院ブログ|
- 韓国で話題のゼロネイトについて
韓国で話題のゼロネイトについて
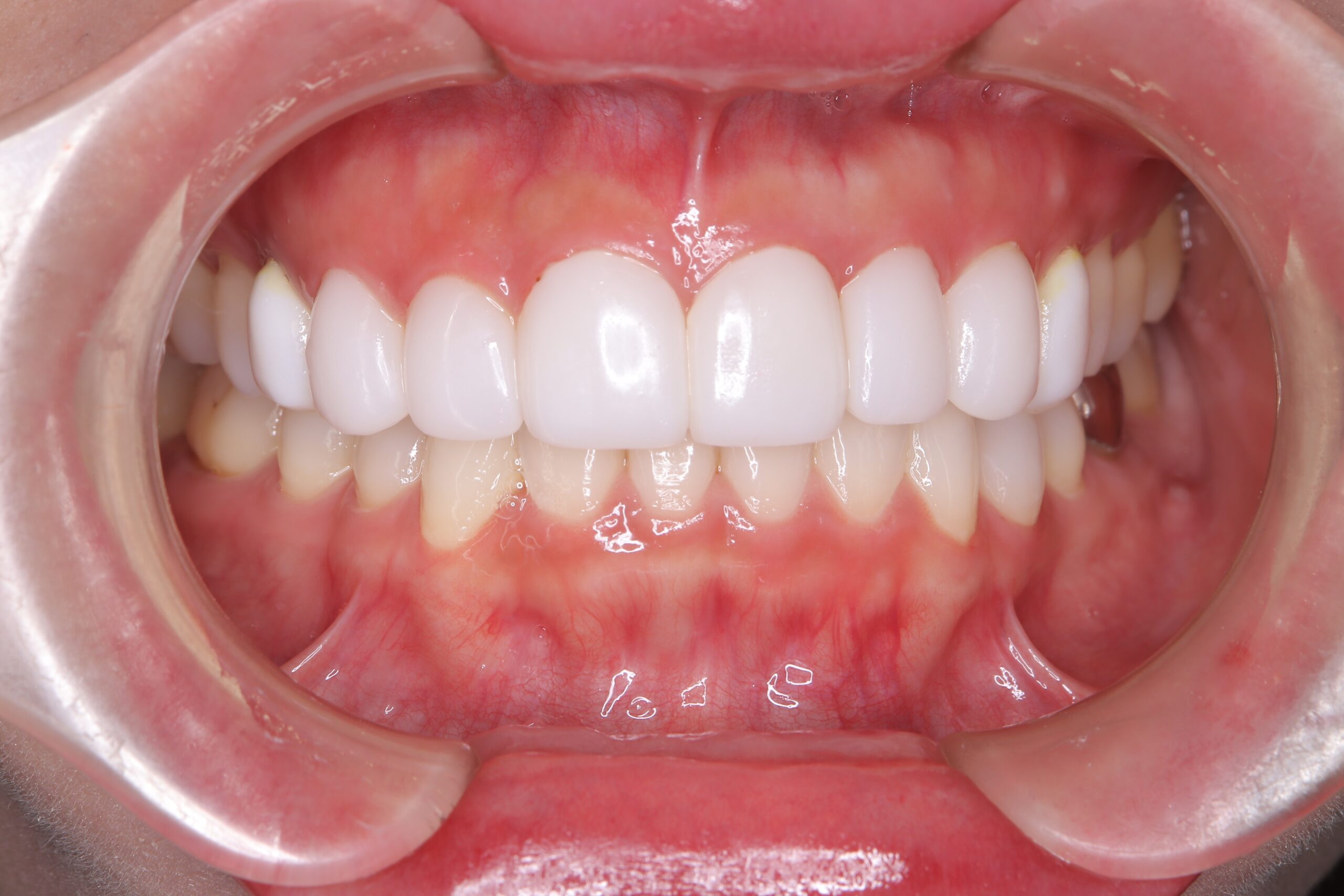
ゼロネイト検証
-

友人が韓国で施術したゼロネイトを診せてもらいました!ゼロネイトは極薄のセラミックを歯に貼り付けて美しい見た目を整える、近年注目を集めている審美治療の一つです。
-

歯をほとんど削らないため、痛みや負担が少なく、ナチュラルで違和感のない仕上がりが期待できるとのことです。
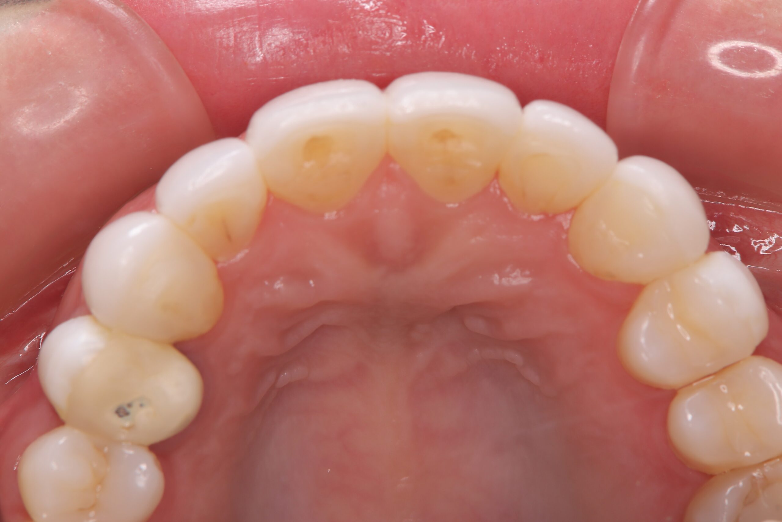
結論
画像から分かるように0.01mmの超極薄のセラミック施術を謳っていますが
実際は患者の症例により厚さは様々です。
値段も高く、渡航費用、外れた時の応急処置などを考えると日本での施術をお勧めします。
日本のテクニシャンはとてもきめ細かく、白さだけではなく形態などすべてにおいて
美しいです。
