前歯の入れ歯からインプラントへ|赤羽の歯医者・インプラント治療なら「オリーブ歯科・矯正歯科」の症例

症例

前歯の入れ歯からインプラントへ

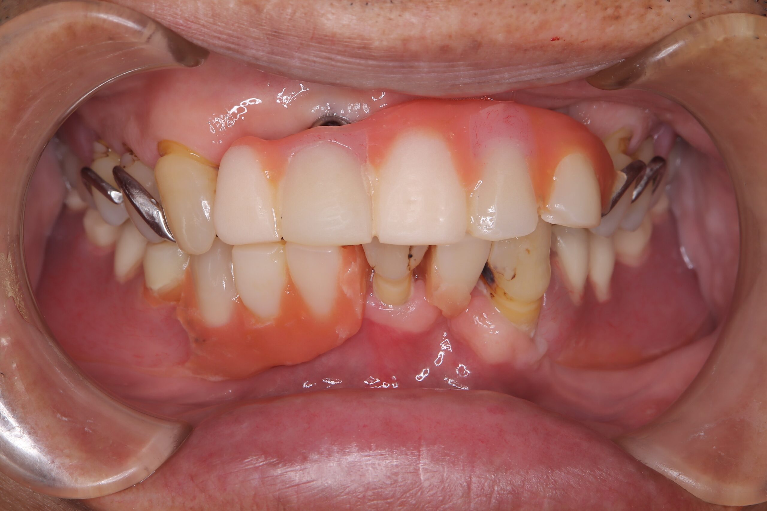
  • 治療前

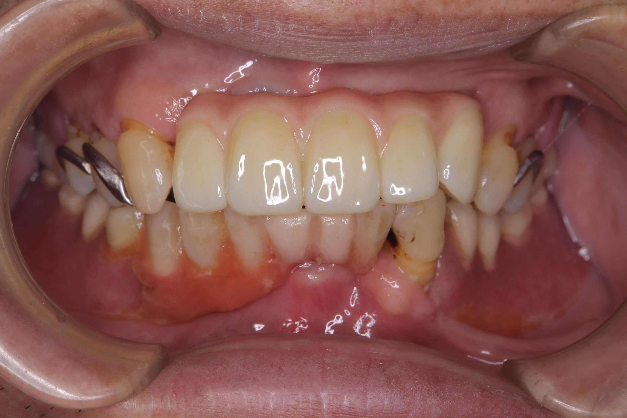
  • 治療後

  • 前歯5本分を2本のインプラントで支えます。

前歯も含めた大きな入れ歯を、奥歯だけの入れ歯に変更することができ

患者さまは大変満足していただけました。

今後は下の前歯もインプラントに変更を希望されています。

赤羽の歯医者・
インプラント治療なら

〒115-0055
東京都北区赤羽西1-5-1
アピレ赤羽2F
TEL:03-5948-8241

10:00~14:00/
16:00~20:00
休診日 祝日