症例
- 赤羽の歯医者・インプラントなら「オリーブ歯科・矯正歯科」|赤羽駅南口徒歩1分|
- 新着情報|
- 症例|
- 奥歯のブリッジインプラント症例
奥歯のブリッジインプラント症例
-
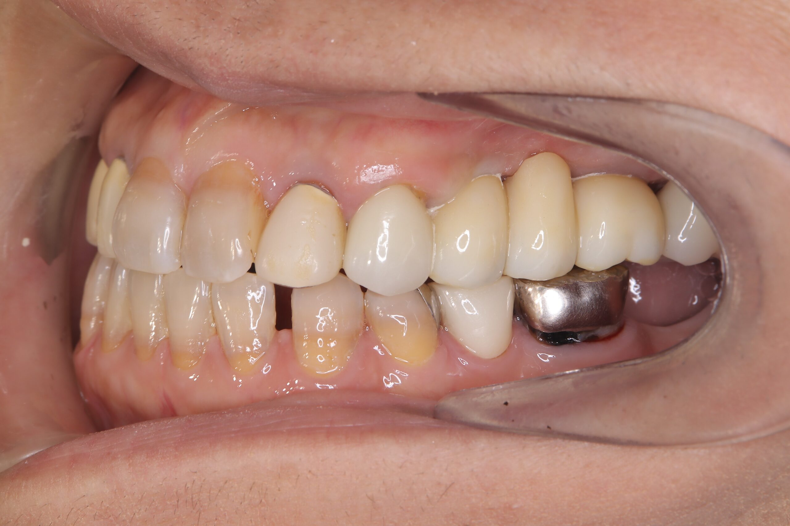
治療前

-
治療後

-

歯根破折により抜歯することになりました。
-

3本分の歯を2本のインプラントで支えます。
-

とても良い位置にインプラントを埋入できました。
-

奥歯をインプラントにすることでしっかり食事をすることができ、隣在歯の負担を軽減することができます。
| 症例タイトル | 奥歯のブリッジインプラント症例 |
|---|---|
| 患者さまの主訴 | インプラントにしたい |
| 治療内容 | 奥歯のインプラント修復 |
| 患者さまの年齢 | 62歳 |
| 患者さまの性別 | ♀ |
| 治療期間 | 6ヵ月。 |
| 治療にかかった総額 | 1,034,000円(税込み) |
| 治療する際に起こる メリット |
今まで通り違和感なく食事ができる |
| 治療する際に起こる リスク・副作用 |
特に無し |
