Tel.03-5948-8241
WEB予約
LINE予約・お問合せ
赤羽駅南口 徒歩1分
〒115-0055 東京都北区赤羽西1-5-1 アピレ赤羽2F
Google map
休診日:祝日
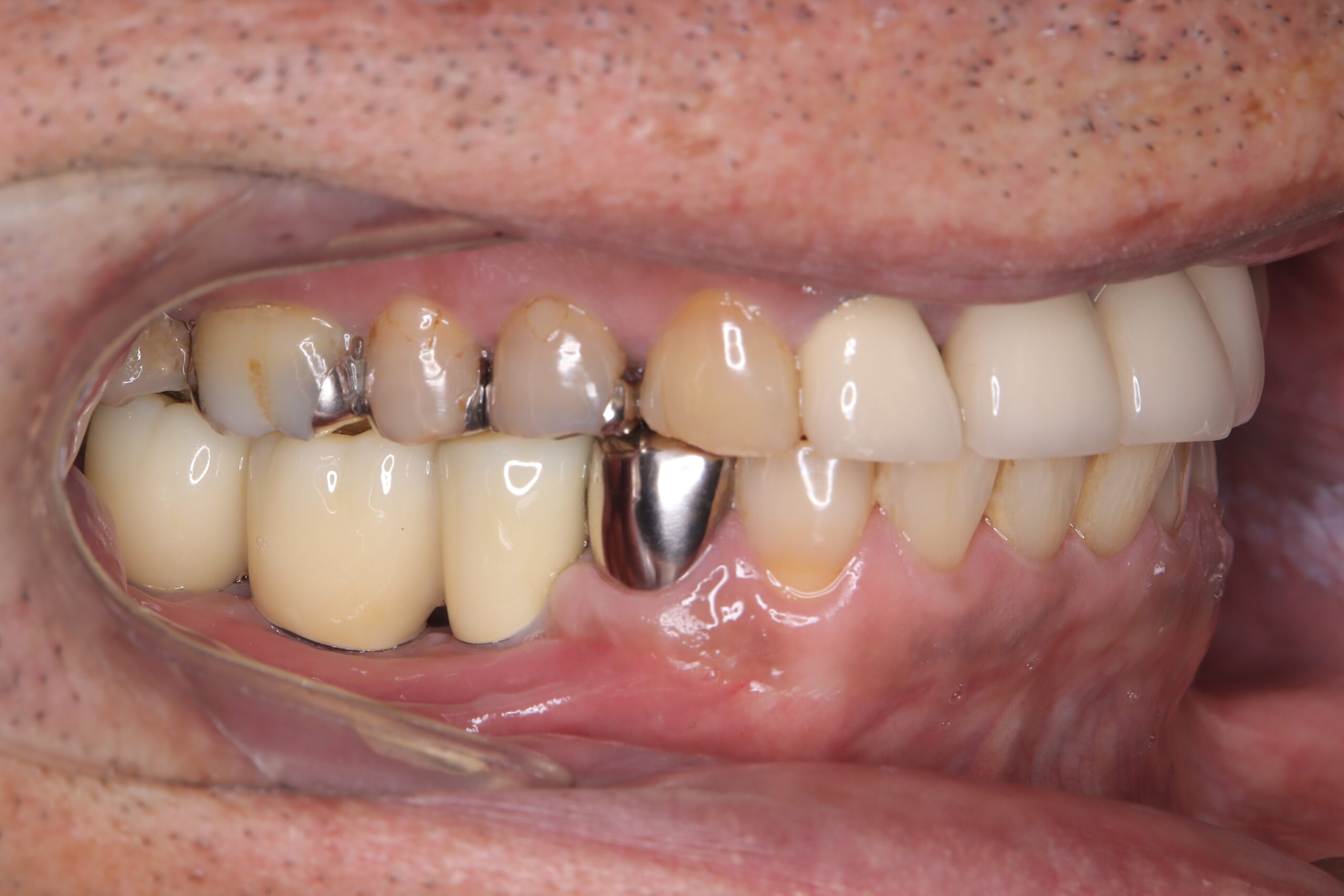
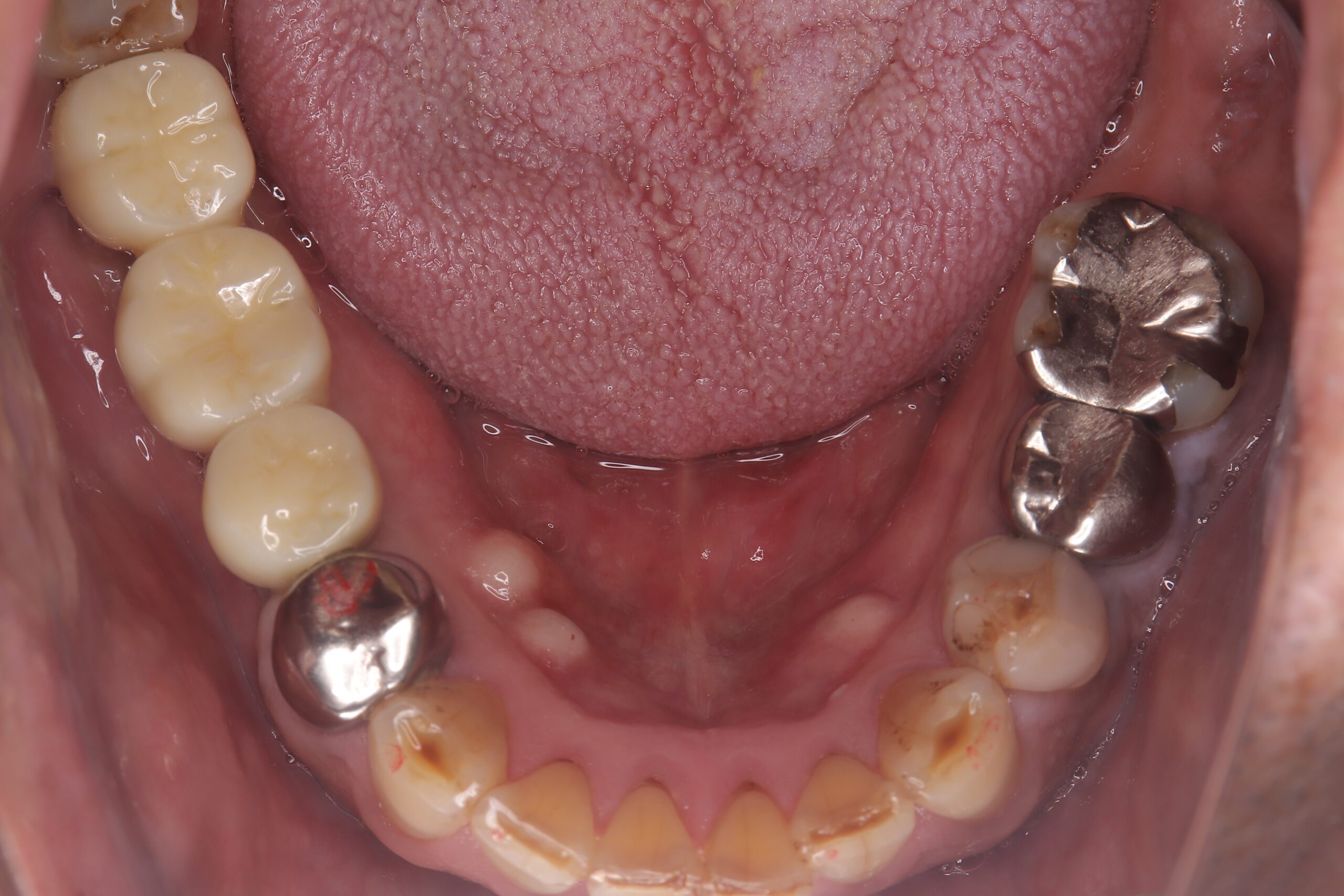
症例
治療前
治療後
良い位置にインプラントを埋入することができました。
インプラントに土台を取り付けました。
インプラントを入れることで反対側の歯を守る効果もございます。
当院ではジルコニアセラミックの冠を使用します。
〒115-0055東京都北区赤羽西1-5-1 アピレ赤羽2FTEL:03-5948-8241
10:00~14:00/16:00~20:00休診日 祝日