症例
- 赤羽の歯医者・インプラントなら「オリーブ歯科・矯正歯科」|赤羽駅南口徒歩1分|
- 新着情報|
- 症例|
- 前歯のインプラント症例
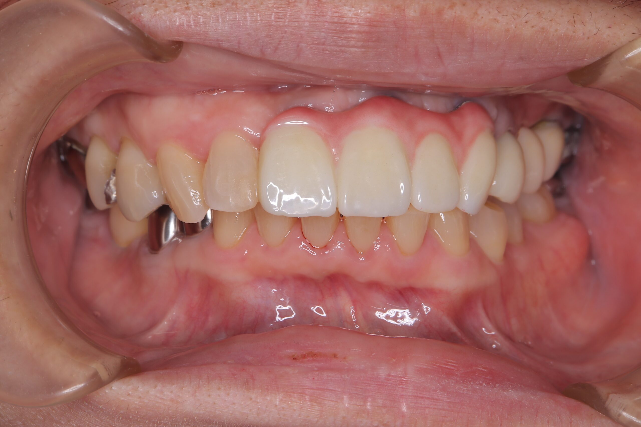
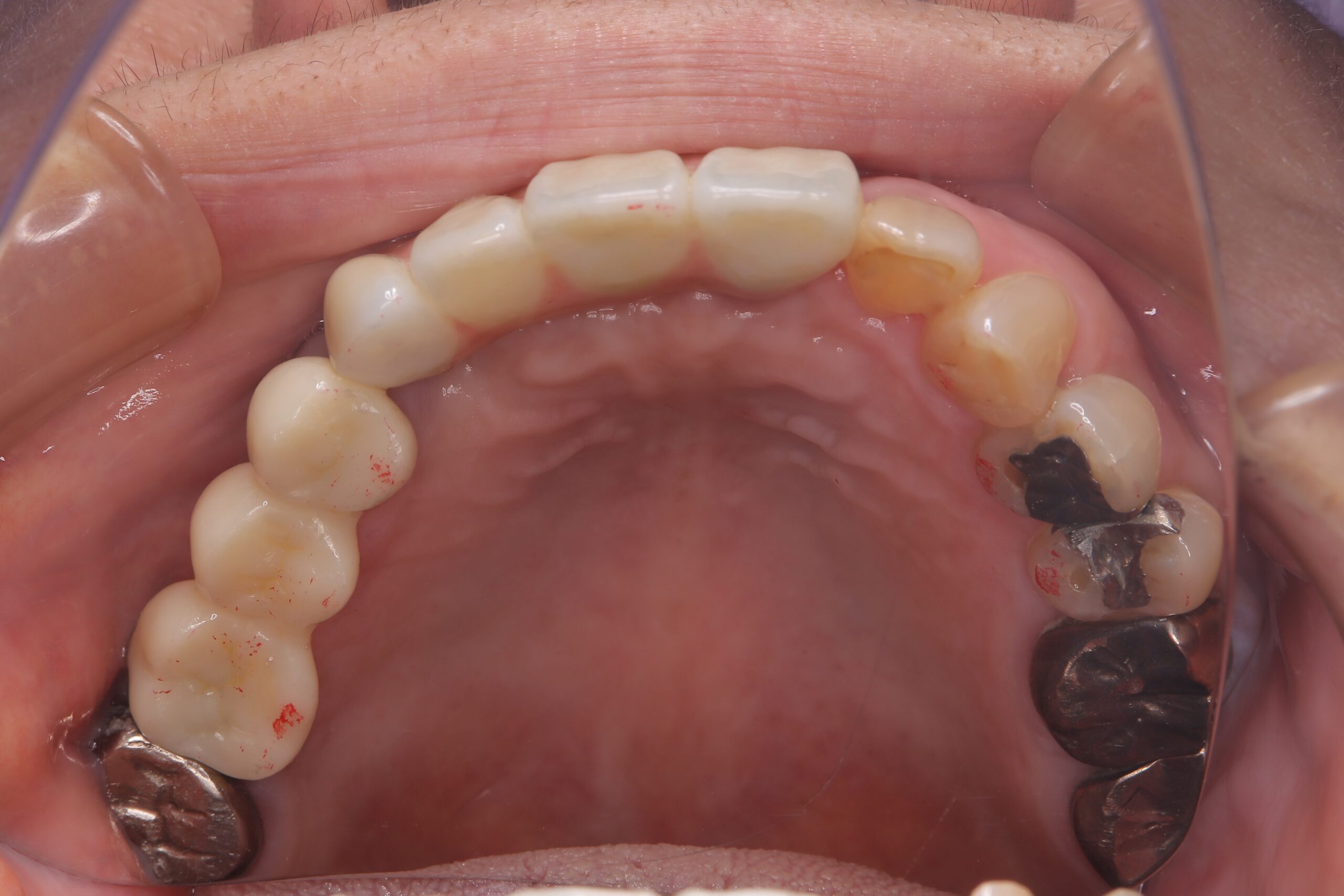
前歯のインプラント症例
-
治療前

-
治療後

-

正面観
-

咬合面観
入れ歯ではなく、前歯だけインプラントにする選択肢も悪くないと思います。
| 症例タイトル | 前歯のインプラント症例 |
|---|---|
| 患者さまの主訴 | 前歯をインプラントにしたい |
| 治療内容 | 前歯のインプラント修復 |
| 患者さまの年齢 | 63歳 |
| 患者さまの性別 | ♀ |
| 治療期間 | 6ヵ月 |
| 治療にかかった総額 | 1,309,000円(税込み) |
| 治療する際に起こる メリット |
審美的満足・食生活の改善 |
| 治療する際に起こる リスク・副作用 |
特に無し |
