症例
- 赤羽の歯医者・インプラントなら「オリーブ歯科・矯正歯科」|赤羽駅南口徒歩1分|
- 新着情報|
- 症例|
- 矯正治療(出っ歯の改善)後のジルコニア・ラミネートベニア修復。
矯正治療(出っ歯の改善)後のジルコニア・ラミネートベニア修復。
-
治療前

-
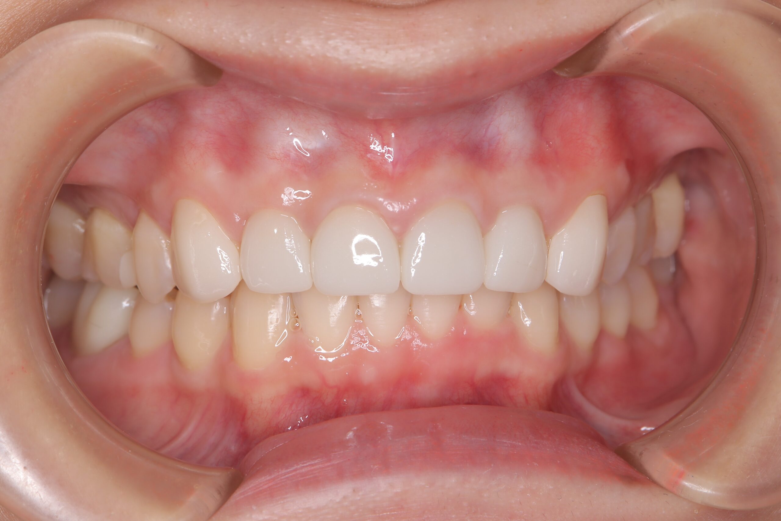
治療後

-

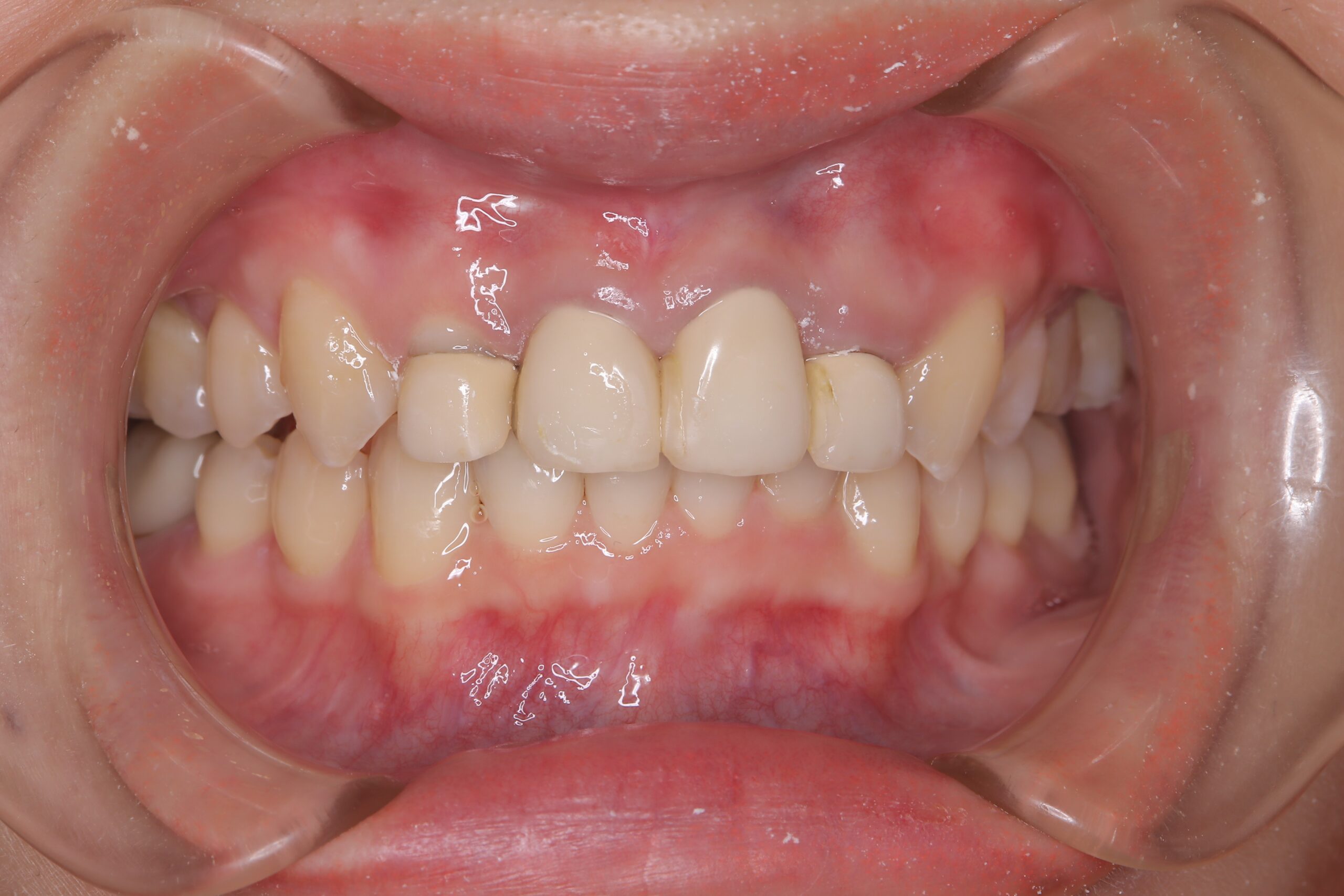
矯正治療後の正面観
患者様は上顎前突(出っ歯)の状態だったので、抜歯矯正で上顎の前歯を下げてから
審美修復処置を施術いたしました。
コンプレックスが解消され、大変満足していただけました。
良い結果を生むには何事も多少の時間(治療期間)は必要になります。
| 症例タイトル | 矯正治療後の前歯部審美修復 |
|---|---|
| 患者さまの主訴 | 出っ歯を治して歯を綺麗にしたい。 |
| 治療内容 | 矯正治療後に前歯部ジルコニア・ラミネートベニア修復を施術しました。 |
| 患者さまの年齢 | 29歳 |
| 患者さまの性別 | ♀ |
| 治療期間 | 2.5年 |
| 治療にかかった総額 | 1,500,000円(税込み) |
| 治療する際に起こる メリット |
顔貌・歯の審美的満足 |
| 治療する際に起こる リスク・副作用 |
治療期間 |
