症例
- 赤羽の歯医者・インプラントなら「オリーブ歯科・矯正歯科」|赤羽駅南口徒歩1分|
- 新着情報|
- 症例|
- 前歯部ラミネートベニア修復
前歯部ラミネートベニア修復
-
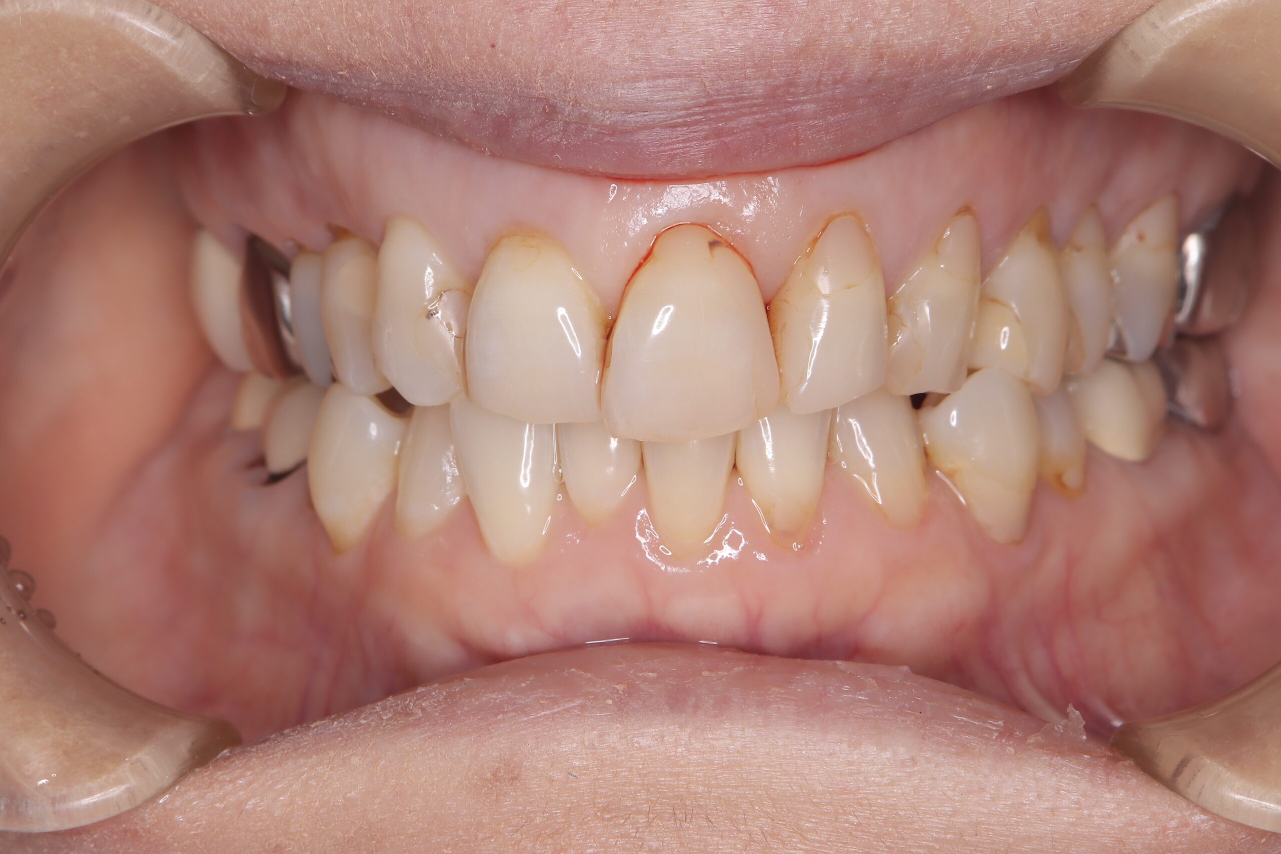
治療前

-
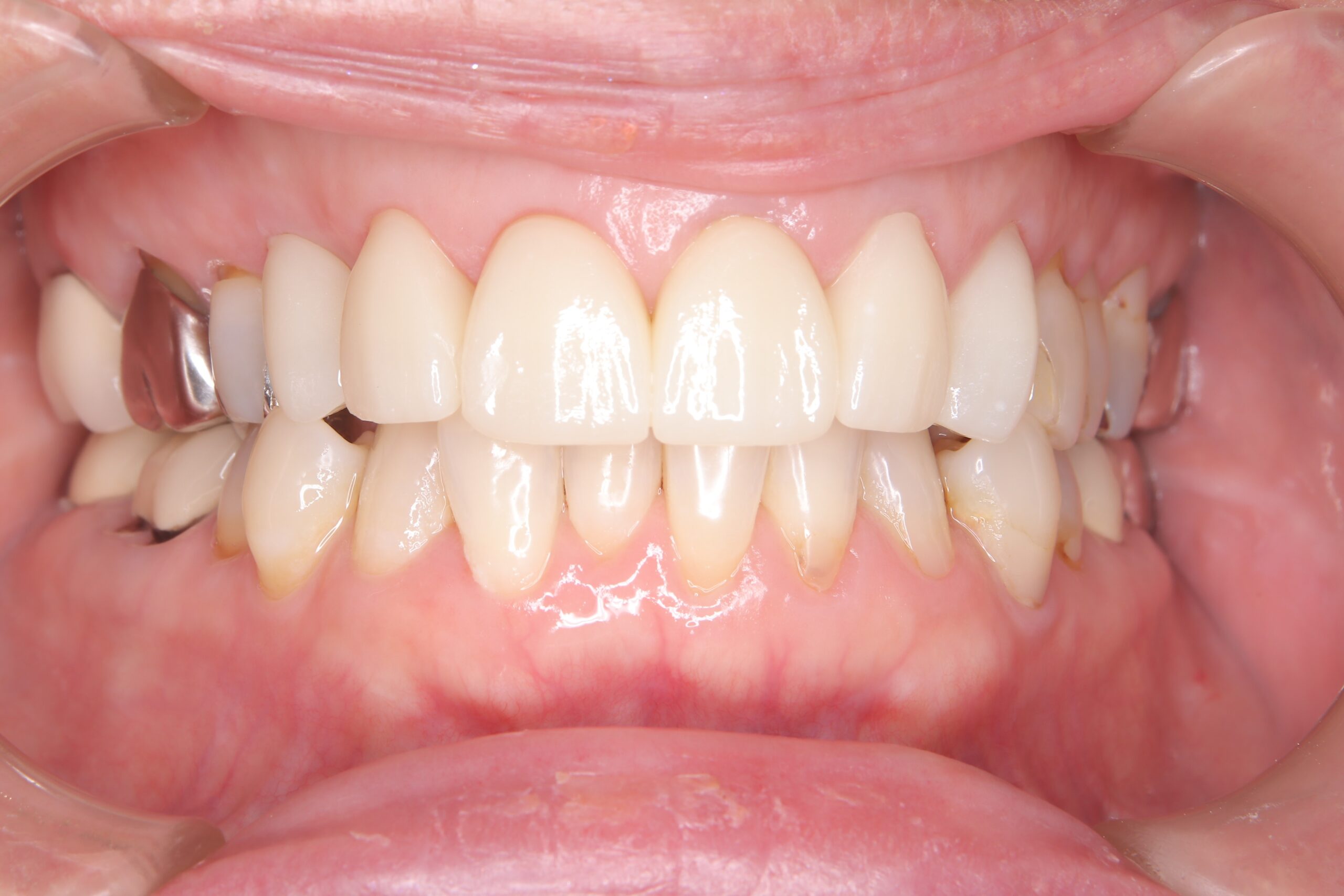
治療後

-

治療後のLip写真、右上の銀歯が気になります...
| 症例タイトル | 前歯部ラミネートベニア修復 |
|---|---|
| 患者さまの主訴 | 前歯1本が大きくて出ているのが気になる |
| 治療内容 | 前歯6本ラミネートベニア修復 |
| 患者さまの年齢 | 55歳 |
| 患者さまの性別 | ♀ |
| 治療期間 | 2週間 |
| 治療にかかった総額 | ¥660,000(税込み) |
| 治療する際に起こる メリット |
コンプレックスの解消 |
| 治療する際に起こる リスク・副作用 |
特に無し |
