「機能性」×「審美性」
二つを両立する
精密歯科治療
- 土日診療・夜20時まで
- 完全個室の特診室
- カウンセリングルーム
OLIVE
DENTAL
ORTHO
DONTICS
〒115-0055
東京都北区赤羽西1-5-1 アピレ赤羽2F

休診日:祝日
CONCEPT
-

-
CONCEPT
しっかり噛めて美しい 機能美を追求する
総合歯科診療赤羽の「オリーブ歯科・矯正歯科」は、噛む機能と見た目の美しさの両立を大切にし、「機能美」を追求した総合歯科診療をご提供する歯医者です。
患者さま一人ひとりの状態を丁寧に診断し、ただ症状を治すだけでなく、長期的な健康を見据えてご提案します。噛み合わせや歯並びのバランスに配慮して、快適で美しい口元を実現し、自然と笑顔になれる未来をサポートします。


DOCTOR
幅広い専門性を活かし
一人ひとりに
最適な診療を

当院の理事長は、歯科医療について幅広く研鑽を積んできました。インプラント治療では、国際インプラント学会(ICOI)の認定医・指導医の資格を保有。培った知識と経験、高度な技術を活かし、精密な治療をご提供します。
また、MEAWワイヤー矯正の技術を研鑽し、患者さま一人ひとりに合わせた矯正歯科治療を実践。さらに、マイクロスコープを用いた精密治療や美容歯科にも対応し、包括的な診療を行っています。
オリーブ歯科・矯正歯科
理事長鈴木 貴詞
略歴
- 愛知学院大学歯学部卒業
- 2001年
- 日本MEAW研究会学会に参加
- 2005年
- オリーブ歯科・矯正歯科開院
- 2010年
- 医療法人社団 オリーブ歯科・矯正歯科設立 理事長に就任
- 2012年
- ニューヨーク大学(インプラントCDEプログラム)卒業
- 2014年
- コロンビア大学(ICOI指導医研修プログラム)にて研修
- 2015年
- 国際インプラント学会指導医筆記試験合格
- 2018年
- タイ王国国立チュラロンコン大学歯学部付属病院にて総合美容歯科研修修了
所属学会
- ・日本MEAW研究会学会会員
- ・日本口腔インプラント学会会員
- ・国際インプラント学会(ICOI)認定医・指導医
- ・日本顕微鏡歯科学会会員
- ・日本顎顔面美容医療協会会員
IMPLANT
初診無料
カウンセリング
国際インプラント学会
認定医・指導医による
精密な
インプラント治療
当院の理事長は、国際インプラント学会(ICOI)の認定医・指導医の資格を持ち、インプラント治療の専門的な研鑽を積んでいます。また、2024年には、日本臨床歯科口腔インプラント評価機構の認証専門医の認定も取得しました。
歯科用CTを用いて精密な診査・診断を行い、安全で確実なインプラント治療をご提供。骨が不足している場合でも、再生療法や高度なグラフトレス術式などを駆使して治療を行います。また、他院での再治療にも対応可能です。
-

01
オペ室での
インプラント治療 -

02
歯科用CTを
用いた精密な診断 -

03
骨が足りない場合
にも
対応可能 -

04
5~10年の
インプラント
保証体制
CASE
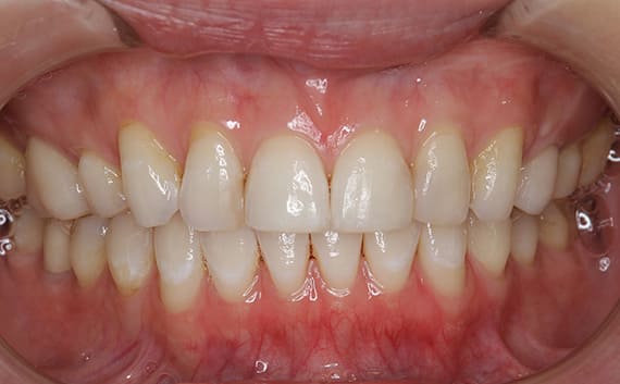
前歯部審美インプラントの症例
-
治療前

-
治療後

- 主訴
- 前歯を抜歯しなければならず、インプラントを入れたい
- 診療内容
- 骨造成(GBR)と結合組織移植(CTG)を伴う前歯部審美インプラント
- 年齢・性別
- 45歳・男性
- 治療期間
- 9ヶ月
- 治療費用
- 1,500,000円(税込)
- 治療のメリット
- 審美的回復
- リスク・副作用
- 前歯が入るまでの期間が少し空く・治療費が高額になる
症例について詳しく見る
SECOND
OPINION
セカンドオピニオンや他院で
受けた
インプラント治療の
再治療にも対応しています。
お悩みの方は、お気軽に初回無料
カウンセリングへお越しください。
ORTHO
初診無料カウンセリング
ORTHO
矯正治療の研鑽を積んだ
歯科医師による
オーダーメイドの
矯正歯科治療
矯正歯科治療は、見た目を整えるだけでなく、噛み合わせも整えて機能性を向上させることが重要です。当院では、ワイヤー矯正だけでなく、目立ちにくい透明な矯正装置や、歯の裏側に装着する舌側矯正など、多様な矯正歯科治療をご提案しています。
患者さま一人ひとりのお口の状態やライフスタイル、そしてご要望に合わせ、快適な矯正歯科治療をご提供します。
-

矯正治療と並行し
た
一般処置・抜歯
も対応 -

歯科用CT
口腔内スキャナー
での
精密な診査診断
CASE
矯正歯科治療の症例
-
治療前

-
治療後

- 主訴
- ガタガタの歯並びを治したい
- 治療内容
- インビザラインによる矯正治療
- 年齢・性別
- 43歳・女性
- 治療期間
- 2年2ヵ月
- 治療費用
- 686,400円(税込)
- 治療のメリット
- 咬合・審美的回復
- リスク・副作用
- 特に無し
症例について詳しく見る
-

-
ESTHE
審美性と機能性を両立させる 機能美の
セラミック治療赤羽の歯医者「オリーブ歯科・矯正歯科」では、審美性と機能性の両方にこだわり、患者さまのご要望に沿った最適なセラミック治療をご提供しています。セラミックは金属が含まれない素材であり、金属アレルギーの心配がありません。
耐久性も高く、長期間にわたって美しさが持続します。銀歯を白くしたい、自然な美しい歯にしたい方には、当院にご相談ください。
-

歯科技工士との
密な連携 -

早く綺麗な歯にする
セラミック矯正
にも対応
CASE
セラミック治療の症例
-
治療前

-
治療後

- 主訴
- ホワイトニングに疲れたのでセラミックで歯を白くしたい
- 治療内容
- ラミネートベニアによる審美修復
- 年齢・性別
- 34歳・女性
- 治療期間
- 2週間
- 治療費用
- 1,056,000円(税込)
- 治療のメリット
- 定期的にホワイトニングを行わなくても、白い歯を維持できる
- リスク・副作用
- 仮歯の期間は審美的に良くない
症例について詳しく見る
TREATMENT
POINT
患者さまが気軽に通院
いただくための工夫
-

01
赤羽駅南口から徒歩1分
土日診療で通いやすい歯医者当院は、赤羽駅南口から徒歩1分の好立地にあり、通院しやすい環境です。また、土日も診療を行い、忙しい方でも無理なく通院していただけます。安心して治療を受けられる環境・体制を整えているので、お気軽にお越しください。
-

02
複数の専門性を持つ歯科医師による
高精度・広範囲の治療当院の理事長は、インプラント治療・矯正歯科・セラミック治療・美容歯科など幅広い分野で専門的な研鑽を積んでいる歯科医師です。患者さまの状態に合わせ、これまで培って来た技術を駆使し、一人ひとりに適した最善の治療をご提案します。
-

03
機能性・審美性を追求し
健康な状態が長持ちする治療当院では、見た目の美しさだけでなく、しっかり噛める機能性も重視した、機能美を追求しています。また、患者さま一人ひとりの状態を丁寧に見極め、原因を根本から改善する包括的な治療をご提案しています。
-

04
カウンセリングルームや
個室診療室を完備個室の診療室やカウンセリングルームを完備し、患者さまがリラックスして治療を受けられる環境を整えています。プライバシーにも配慮し、落ち着いた空間で診療を受けられます。安心してご来院ください。
-
05
先端医療設備を導入し、
精密で安全な診査・診断・
治療を実現安全で精度の高い治療を実現するために、歯科用CT・口腔内スキャナー・マイクロスコープなどの先端医療設備を導入しています。また、それぞれの機器を適切に扱うために日々の研鑽を怠らず、精密な診査・診断・治療を提供します。
-

歯科用CT
-

マイクロスコープ
-

口腔内スキャナー
-

EMSエアフロー
-
PAYMENT
治療費のお支払い方法
当院では、下記の4つのお支払い方法に対応しています。ご不明点がありましたら、受付にお問い合わせください。
-
現金支払い
-
クレジットカード
-
PayPay※3000円以上の場合のみ
-
デンタルローン
RECRUITMENT
採用情報
- 歯科医師
- 歯科衛生士
- 歯科助手
- 医療事務
赤羽の歯医者「オリーブ歯科・矯正歯科」では、私たちと一緒に働くスタッフを募集しています。
充実した福利厚生と、安心して成長できる教育体制を整えてお待ちしています。
NEWS
お知らせ
-
症例
2026.05.01
-
症例
2026.04.27
-
症例
2026.04.19
-
医院ブログ
2026.03.29
-
症例
2026.03.29
-
症例
2026.02.16
-
症例
2026.02.01
-
症例
2026.02.01
-
症例
2026.02.01
-
医院ブログ
2026.01.31
-
お知らせ
2025.08.01
-
症例
2025.06.29
-
症例
2025.05.11
-
症例
2025.05.11
-
症例
2025.05.10
-
症例
2025.05.10
-
症例
2025.04.24
-
お知らせ
2025.04.17
-
お知らせ
2025.08.01
-
お知らせ
2025.04.17
-
症例
2026.05.01
-
症例
2026.04.27
-
症例
2026.04.19
-
症例
2026.03.29
-
症例
2026.02.16
-
症例
2026.02.01
-
症例
2026.02.01
-
症例
2026.02.01
-
症例
2025.06.29
-
症例
2025.05.11
-
症例
2025.05.11
-
症例
2025.05.10
-
症例
2025.05.10
-
症例
2025.04.24





